О ЦЕНТРЕ
УСЛУГИ
СТЕЛЬКИ ортопедические
НОВОСТИ
ПАРТНЁРЫ и специалисты
ДОКУМЕНТЫ
КОНТАКТЫ
ВИДЕО
ФОТО
Анатомия и биомеханика стопы
Деформации сводов стопы
Деформации стоп и коленей
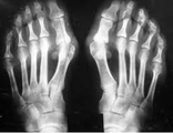
Деформации пальцев ног
ПОСОБИЯ
ОТВЕТЫ на вопросы
Плоскостопие
Полая стопа
Вальгусные стопы
Косолапость
Плантарный фасциит
Пяточная шпора
Косточка стопы
Подагра
Деформации пальцев
Артроз суставов стопы
Укорочение ноги
Диабетическая стопа
Вросший ноготь
Натоптыш, стержневая мозоль
Мы в социальных сетях
КОНТАКТЫ
Северск, ул. Калинина, 35, 2 этаж, вход с торца здания
ТОМСК, ул. Смирнова, 9 ст3, 3 этаж
Посмотреть на карте
+7 (906) 957-86-20
+7 (906) 957-86-20
ПО ПРЕДВАРИТЕЛЬНОЙ ЗАПИСИ!
с 10:00 до 20.00
понедельник - суббота
(ПРИЁМ только по ЗАПИСИ!)
+7(906)957-86-20
+7(909)541-59-41
+7(961)891-90-22
+7 (906)
957-86-20
+7 (906) 957-86-20
ЦЕНТР
ЗДОРОВЬЯ НОГ
и ОСАНКИ
доктора Виноградова
ФОТО
/
Деформации пальцев ног
Наверх